Estados Unidos.-Actualmente laspruebasdecoronavirushan avanzado gracias a latecnología, lo que se presumía que sería de gran ayuda para controlar lapandemia, sin embargo un nuevo estudio ha identificado que losexámenes médicosconinteligencia artificialpresentan errores.
Da clic aquí y descubre más información de Tribuna Sonora en nuestra página de Google News
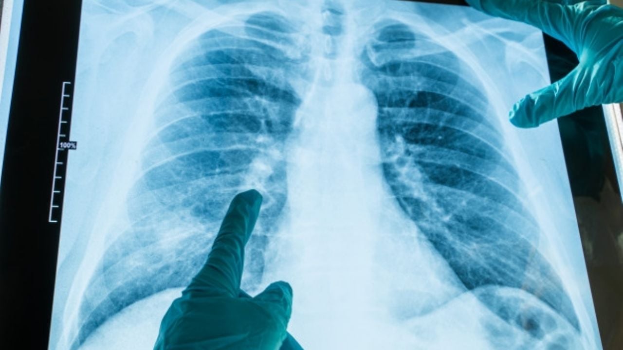
Una investigación realizada por laUniversidad de Washington, ha concluido que estas herramientas innovadoras para detectar elCovid-19con ayuda deradiografías pectoralesno tienen la precisión y eficacia que se espera.
Los expertos asegura que esto se debe a que las pruebas con inteligencia artificial recurren aatajosque da a los médicos resultadosfalsossobre eldiagnósticoy elestado realde laenfermedad, ya que no se basan en lo representado en las imágenes.
Recurren a atajos de aprendizaje que desembocan en asociaciones falsas entre factores médicos irrelevantes y el estatus de la enfermedad . . . los médicos esperarían que un diagnóstico de Covid-19 a partir de una radiografía estuviera basado en pautas específicas dentro de la imagen que reflejarán los procesos de la enfermedad”, explican los investigadores.

Sin embargo, sus conclusiones aseguran que este tipo desistemas automatizadosutilizan factores como laedaddel paciente para determinar si se trata de uncontagio, según los expertos, si este tipo de pruebas detectan que se trata de unadulto mayor, automáticamente lanzan un resultado positivo alvirus, ya que la mayoría de los contagiados son de este sector población.
Los especialistas aseguraron que no es incorrecto asumir que una persona mayor esta infectada, pero son asociaciones inesperadas que pueden llevar a diagnósticos falsos, por lo que recomiendan que este tipo de pruebas no se aplique más quehospitales especializadosen este tipo de inteligencia artificial.
Pero destacan que es posible que ningúncentro médicolas utilizan, pues la forma más inmediata ytradicional, es decir laspruebas PCR, son efectivas.
https://t.co/UVrsnzUeRm#Shortcutlearningin#artificialintelligencecould lead to inappropriate#diagnosis.#medical#UW#AlexDeGrave#JosephJanizek#PaulGAllenSchool#SuInLee#neuralnetworks#datasets#worstcaseconfounding#covid19#diseases#healthcare#cancer
— Nilesh Kakade (@nkakade)May 31, 2021
Fuente: El densconcierto